
オールオン4は、すべての歯を失った方や総入れ歯が合わずにお悩みの方におすすめの治療法です。
《ポイント1》
オールオン4とは名前の通りたった4本のインプラントで12本の歯を作ってしまう方法です。
全ての歯を失ってしまった方、総入れ歯の方に行う治療法です。
《ポイント2》
手術の当日に歯が入ります。
抜歯からインプラントの埋入、仮歯を入れるまでが1日でできます。


すべての歯を失った場合、従来の治療では8本〜14本の人工歯根が必要とされていましたが、オールオン4ならわずか4本で12本の歯をしっかりと支えることが可能です。
手術では、骨の硬い部分を正確に狙い、角度や力の加減を調整しながら埋入を行います。さらに、埋め込む器具の長さや太さを適切にコントロールすることで、すべての歯を安定して支える構造を実現します
。オールオンフォーは治療技術(外科術式)が大変難しく、手術が出来る歯科医師、歯科医院が限られています。
オールオン4と、片顎または全顎すべて(フル)インプラントで治療した場合の比較です。
| オールオン4 | インプラント | |
|---|---|---|
![]() |
![]() |
|
| インプラントの本数 |
最少4本〜 |
8本〜14本 |
| 身体への負担 |
最少4本の埋入のため、手術の体への負担が少ない。 |
埋入本数が多く、手術時間が長くなり、腫れも大きい。 |
| 費用 | 複数本を埋入するのに比べて費用が抑えられる。 | 歯を失った本数が多いほど費用が高額になる。 |
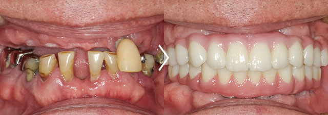
1. 歯がボロボロ、またはほとんどの歯が無い
残ってる歯のほとんどが、虫歯が大きすぎたり、歯周病でグラグラだったりした場合、そういう歯を無理に残しても、結果的にしっかり噛むことができないことがあります。
そんな時に、オールオンフォーはインプラントで固定式の歯を作るため、有効です。また見た目もキレイになります。
2. 総入れ歯が合わない、えずく、かみにくい方

総入れ歯が外れやすい、えずいて気持ち悪い、しっかりと噛めない、というような方は多いと思います。オールオン4はインプラントで固定されるため、そのお悩みは解決します。
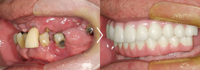
3. 顎の骨がやせてしまってる方

▲ 骨がやせた方にオールオン4をした例
歯を失ってから年月が経ち、骨が痩せてしまった方や、長年総入れ歯を使用して骨が減ってしまった方には、骨の状態に柔軟に対応できる治療法が有効です。
中でも、残っている骨を活かして行うオールオンフォーは、特に適しています。
4. 治療費が気になる方へ

すべての歯を個別に治療する場合は、使用する人工歯根の本数が多くなるため、どうしても費用がかさみがちです。
その点、オールオンフォーならわずか4本(状態によっては6本)で全体を支えることができるため、トータルの負担を大幅に抑えられます。
当院の費用は、2種類あります。
●アクリリックレジンタイプ(人工歯がレジン):片顎 210万円(税込 231万円)
●セラミックタイプ(人工歯がセラミック):片顎 270万円(税込 297万円)


オールオンフォー940症例、インプラント40,000本の実績があります。専門医師チームによる多角的な治療を提供しています。

手術では静脈内鎮静を使用することが多いです。医科の麻酔科医が安全に担当し、痛みなく手術が行われます。
※点滴麻酔(静脈内鎮静)はクリニックによって対応していない医院もございます。事前にお問い合わせください。

他院で治療が難しいとされた方も対応可能です。CTで正確な診断を行い、骨を増やす技術であらゆる症例に対応します。

当院のオールオンフォーは噛む機能だけでなく美しさにもこだわり、専門技工士が制作。人工歯肉なしのタイプも対応可能で、高度な技術を提供しています。

オールオンフォーは、従来の方法に比べて必要な埋入本数が少なく、4〜6本で済むため非常に経済的です。使用するインプラントの本数が少なくて済むことから、全体の費用負担を抑えられるのも大きな魅力です。

当院はCTやシミュレーションガイド、骨移植、全身麻酔など、オールオンフォーに必要な設備と技術が充実しています。
オールオン4は1998年にポルトガルのマロ・クリニックで開発され、世界で15万人以上が受けた実績ある治療法です。
10年以上にわたる長期臨床データでも、
・インプラント生存率:93%以上
・補綴物の成功率:98%以上
といった安定した結果が報告されています。
私たちの提供するオールオン4も、この世界的な信頼の技術をもとに、専門医師チームが対応しています。

All-on-4®を開発したポルトガルのDr.パウロ・マロと共に。世界の第一人者との連携から学び、日々の診療に生かしています。
オールオン4は、顎の骨にしっかり固定されたインプラントが土台となるため、従来の総入れ歯と比べて圧倒的に咬合力(噛む力)が強くなります。
おせんべいやお肉などの硬い食べ物もしっかり噛めるようになることで、「食べる楽しみ」を取り戻す方が多くいらっしゃいます。
入れ歯と違って接着剤や安定剤が不要で、歯がグラついたり、食事中に外れたりする心配がありません。
「しゃべっている時に外れるのが怖い」「笑うのが不安」といった日常のストレスが大きく軽減されるのも、オールオン4の大きな特長です。
歯ぐきとのなじみや歯の形、色調までこだわった設計が可能で、まるで自分の歯のような自然な見た目に仕上がります。
当院では、専門の技工士と連携し、審美性にも徹底的に配慮した補綴物(人工歯)を製作しています。
歯を失うと顎の骨が次第にやせていきますが、インプラントは噛む力を骨に伝えるため、骨の吸収を防ぐ効果があります。
実際、オールオン4の臨床研究では、10年以上経過しても平均1.7mm未満の骨吸収に抑えられたというデータもあり、長期的な骨の安定が期待できる治療法です。
オールオン4では、抜歯・インプラント埋入・仮歯の装着までを1日で行える即日荷重の技術を採用しています。
そのため、「治療中に歯がない期間が不安…」という方でも、その日のうちに会話や食事ができる仮歯が入るため、安心して日常生活を送ることができます。
従来のフルインプラントでは8〜14本の人工歯根が必要でしたが、オールオン4はわずか4本のインプラントで12本分の歯を支える構造です。
そのため、手術の負担が少ないだけでなく、治療にかかる費用も比較的抑えやすくなっています。
オールオン4はインプラント治療の一種であり、外科手術を伴います。そのため、重度の全身疾患がある方などは適応外となる場合があります。
手術前にCT撮影や血液検査などを通じて、しっかりと適応の可否を判断いたします。
基本的に、残っている歯はすべて抜歯してからインプラントを埋入します。
ただし、歯の状態が悪く機能していない場合には、残すより抜歯して固定式の歯を作った方が結果的にしっかり噛めるケースが多いです。
オールオン4は自由診療となるため、保険治療に比べて費用のご負担が大きくなります。
ただし、必要なインプラント本数が少ない分、従来のフルインプラントよりも経済的に抑えられる場合があります。
オールオン4は、10年以上にわたって安定した臨床データが蓄積された治療法です。 特に注目されているのが、インプラントを入れた後の骨の吸収量が非常に少ないという点です。
国際的な臨床研究では、オールオン4を受けた患者の骨吸収量は、10年以上経過しても平均1.7mm未満という結果が出ています。
これは、従来の入れ歯やフルインプラントと比較しても、長期的に骨を守る効果が高いことを示しています。
また、使用するインプラントは、骨の硬い部位に角度をつけて正確に埋め込む設計であり、力の分散がうまくいくため、無理なく噛める環境が続きやすいのです。
| オールオンフォー | 総入れ歯 | |
|---|---|---|
![]() |
![]() |
|
| メリット |
|
|
| デメリット |
|
|
※症例紹介の費用は掲載時点の金額です。治療費用は改定される場合がありますので、最新の料金はお問い合わせください。





上顎をオールオン6、下顎がオールオン4で治療しました。
<上顎>オールオン6 3,100,000円(税抜)、インプラント二次手術10,000円(税抜)、サージカルステント作製30,000円(税抜)、仮歯(プロビジョナルレストレーション) アバットメント無10,000円(税抜)×6・アバットメント有30,000円(税抜)×6
<下顎>オールオン4 2,700,000円(税抜)、サージカルステント作製30,000円(税抜)、仮歯(プロビジョナルレストレーション) アバットメント無10,000円(税抜)×8・アバットメント有30,000円(税抜)×4
CT撮影料10,000円(税抜)
インプラントは自由診療なので保険適用の治療と比べて治療費が高額になります。
インプラントが骨と定着するのを待つ期間が必要なので治療期間が長くなります。
手術後に腫れ・痛みが出ることがあります。
71歳男性の治療例(なんばクローバー歯科で施術)
主訴
上下とも入れ歯で噛めなくて辛い。インプラントでしっかり噛みたい。
初診時
入れ歯 非装着時



入れ歯 装着時



治療終了時









治療方法
上顎はチタン床義歯で治療しました。下顎はオールオン4で治療しました。
奥歯でしっかりと噛めるようになりました。
費用
オールオン4 アクリリックレジンタイプ ¥2,100,000(税抜)
静脈内鎮静 ¥80,000(税抜)
チタン床義歯 ¥320,000(税抜)
※症例紹介の費用は掲載時点の金額です。治療費用は改定される場合がありますので、最新の料金はお問い合わせください。
リスク
インプラントは自由診療なので保険適用の治療と比べて治療費が高額になります。
インプラントが骨と定着するのを待つ期間が必要なので治療期間が長くなります。
手術後に腫れることがあります。
![]()
無料初診カウンセリング
お困りの事、ご希望など何でもお気軽にご相談ください。レントゲン、CTを撮影し、現状のお口の中のご説明、もし治療するとしたら具体的にどんな治療内容になるのか?期間は?費用は?術後は?など全ての疑問を解消します。

![]()
手術と義歯装着 オールオンフォーの治療では、まず手術を行い、必要に応じて麻酔医が静脈鎮静を担当します。インプラントの埋入後、その日のうちに仮歯を装着します。
※点滴麻酔(静脈内鎮静)はクリニックによって対応していない医院もございます。事前にお問い合わせください。

![]()
抜糸 手術から約10日で糸を取ります。
![]()
最終的な型取り インプラントが安定したら最終的な義歯のための型取りをします。
![]()
最終の義歯の装着 最終的な型取りから2週間程度して美しい仕上がりの最終的な義歯が入ります。


・アゴの中央に直径2mmのドリルを用いて、深さ10mmまで骨を削る。
・作った穴に、オールオンフォーガイドを装着する。
・このガイドを使うことにより、を埋めこむ位置や形成の角度が正確になり、さらに舌をドリルから保護する役目もある。
![]()

・2mmのドリルを使用し骨を削っていくが、この時にドリルの角度を確認する為にこのガイドが必要になる。ドリルの傾きの角度はMAXで45度になる。
![]()

・形成した骨の中に、インプラントを埋めこむ。
・角度付の土台を装着する。
![]()

・奥歯の部分に続き、前歯の部分にも2か所形成し、インプラントを埋め込む。
・土台を装着する。
![]()

・歯ぐきを縫ったあと、型取りをする。
![]()

・完成したかぶせ物(上部構造)を、スクリュー(ネジ)で固定する。
・かぶせ物(上部構造)が入れば、ただちに食事ができる。
麻酔が切れた後の痛みは、鎮痛剤の服用で十分に抑えられるため、過度に心配する必要はありません。痛みの持続期間には個人差がありますが、通常は1週間から10日程度で治まります。
埋入本数が少ない場合は、腫れが大きくなることはほとんどありませんが、一度に5〜6本以上の埋め込みを行った場合、腫れが生じることが多く、特に下顎の手術は上顎よりも腫れやすい傾向があります。

当院では、手術の傷口を小さくし、手術時間を短縮することで、腫れや痛みを軽減し、患者様の負担を最小限に抑えた手術を行っています。また、フラップレス手術により、超短時間で低侵襲の治療も可能です。
さらに、当院は神経、血管、上顎洞を避けてインプラントを確実に埋め込む技術を持っており、患者様への負担を大幅に軽減しています。

これまで使用していた義歯と形状が異なったり、歯がなかった部分に新たに歯が入るため、新しい義歯(仮歯)の装着直後は食事や会話に不便を感じることがあるかもしれません。
この違和感は、手術後2〜3週間で少しずつ軽減されていき、次第に慣れていくことが一般的です。
初めは戸惑うかもしれませんが、時間とともに新しい義歯が自然に感じられるようになり、日常生活での不便さも減少しますので、安心して過ごしていただけます。
A. 日本国内のデータによると、10年後の人工歯根の残存率は約95%とされています。
機能を失う主な原因は歯周病によるもので、当院ではこれを防ぐための定期的なメンテナンス体制を整えています。
そのため、しっかりとケアを続ければ長期間の使用も十分に可能です。
All-on-4® treatment concept: High rates of long-term clinical success
The All-on-four concept for fixed full-arch rehabilitation of the edentulous maxilla and mandible
A. 基本的に年齢による制限はありません。
インプラントは骨の中に埋め込む治療ですが、骨は年齢に関係なく代謝を続けているため、何歳であっても骨との結合は可能です。
ご高齢の方の中には、全身の健康状態や手術への不安から希望されない場合もありますが、当院では80代の患者様にも数多く対応しています。
A. 可能です。歯が少し残っている方や義歯を入れておられる方は、手術当日までそのままご使用いただいて、手術当日に抜歯を行います。そして、その日のうちにインプラントを埋め込んで(症状によっては次の日)、新しい歯(仮の歯)を入れます。
A. 手術中はしっかり麻酔をかけますので、痛みは全く感じません。また、お口の中は治りやすいですし、手術の範囲も狭いです。実際に手術された患者さんからの感想は、思ったより体が楽だったというものがほとんどです。もし怖がりの方がおられましたら、点滴麻酔を受けていただければ眠った状態で手術ができます。
※点滴麻酔(静脈内鎮静)はクリニックによって対応していない医院もございます。事前にお問い合わせください。
A. CTを元にコンピューター上で精密なシミュレーションをして手術を行う、ガイドシステムという方法があります。このガイドシステムを使い、歯ぐきに3ミリ程度の穴を4つ開けるだけで手術が終わります。このガイドで手術を行えば、手術ももちろん痛くない、手術後の痛みもほとんどない、出血しない、腫れないという特徴があります。

A. 上記のガイドシステムは、体力のあまりない方や高齢の方にも適しています。なぜなら手術の際に、歯ぐきをめくらなくていい為、手術の負担が大幅に減るからです。
A. はい、可能なケースが多くあります。
オールオンフォーは、骨の残っている部分を正確に見極めて埋入を行う技術です。
多くの場合、必要な支えとなる骨は十分に確保できますし、もし不十分な箇所があっても、骨造成などの処置を行うことで対応可能です。
上顎は完全に頭蓋骨です。そして下顎の骨は頭蓋骨からぶら下がっているので、厳密に言うと頭蓋骨ではありません。
頭蓋骨の中には、穴がたくさん開いていて、一番有名な穴が、鼻の穴、鼻腔です。そして鼻腔以外に、副鼻腔と呼ばれる穴が頭蓋骨の中にはたくさんあちこちに開いています。
副鼻腔にはそれぞれ名前がついていて、鼻腔の左右に開いている副鼻腔のことを上顎洞といいます。ここが感染すると、蓄膿症などのトラブルが起こります。
わずか4本の人工歯根で12本分の歯(上部構造)を安定させられるのには、いくつかの理由があります。
まず、人間が噛む際に最も大きな力がかかるのは、奥から2番目と3番目の歯のあたりです。そのため、実際の咬合圧は奥の2本に集中します。
そこで活躍するのが、奥側に埋め込むインプラント。これらは他の部位よりも長く設計され、骨との接触面が広いため、強い力にも耐えられるのです。
さらに、これらの装置は斜めに傾けて配置されており、力がかかる位置を後方にずらす工夫がされています。
ちょうど、公園のシーソーで前に座ると重く感じますが、後ろに座ると軽く感じるのと同じ理屈です。
さらに、骨の硬い部位を活用できるため、わずか4本で12本分の上部構造をしっかり支えることが可能です。
下顎でも同様に、4本の埋入で安定した支持が得られます。ただし、奥歯のあたりに新たにインプラントを入れる場合、骨の量が不足していれば骨移植などの処置が必要になることもあります。

オールオン6とは、6本のインプラントで12本の歯を支える治療方法です。
この方法は、日本人のように骨がやわらかいケースで採用されることが多く、オールオン4との主な違いは、使用する本数が4本か6本かという点にあります。
オールオン4を希望される患者様でも、骨の状態によっては6本での対応となる場合もあります。

総院長の松本正洋が、あなたの場合の治療費・治療方法・治療期間をお答えさせていただきます。
※本フォームはご相談専用です。広告・営業目的の送信は固くお断りしております。
オールオンフォー(オールオンシックス)についてのご質問・ご相談は無料初診カウンセリングでドクターが詳しくお答えいたします。お気軽にご予約ください。